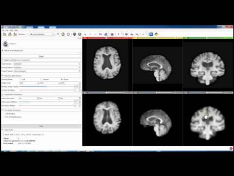
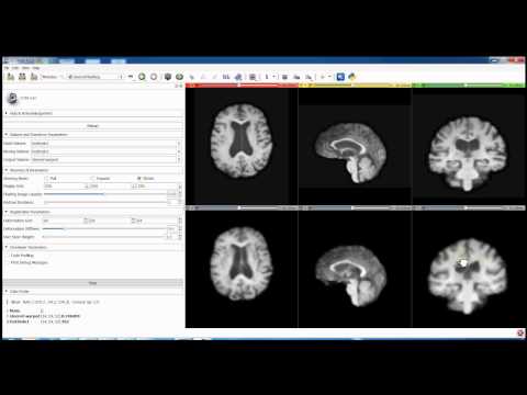
Slicer plug-ins for steered image registration combining interactive user updates and automatic alignment using fluid-flow or poly-affine transforms.
The software is implemented using OpenCL to facilitate quick feedback and smooth user interactions.
Demo video for fluid flow registration using direct steering:
Demo video for polyaffine registration using intelligent steering (user hints):

